省医多学科团队协作机器人微创手术 治愈罕见马蹄肾合并重度积水患儿

大健康事业部 | 2025-09-22 15:22

近日,一名长期受反复腹痛困扰的患儿在贵州省人民医院成功接受了由小儿外科安妮妮教授团队与泌尿外科罗光恒教授团队联合实施的高难度手术,解决了因罕见“马蹄肾合并异位血管压迫”所致的严重肾积水问题。术后复查显示,患儿腹痛症状得到缓解,肾积水显著减轻。

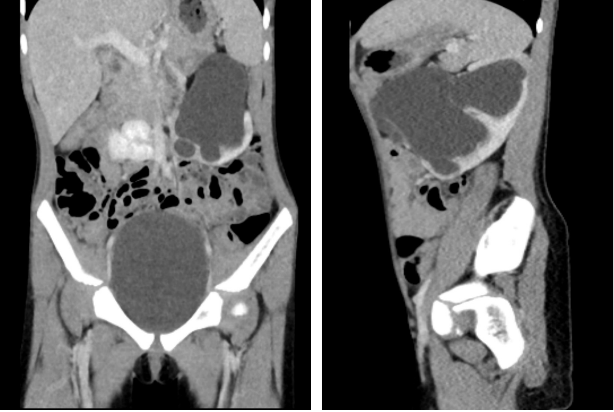
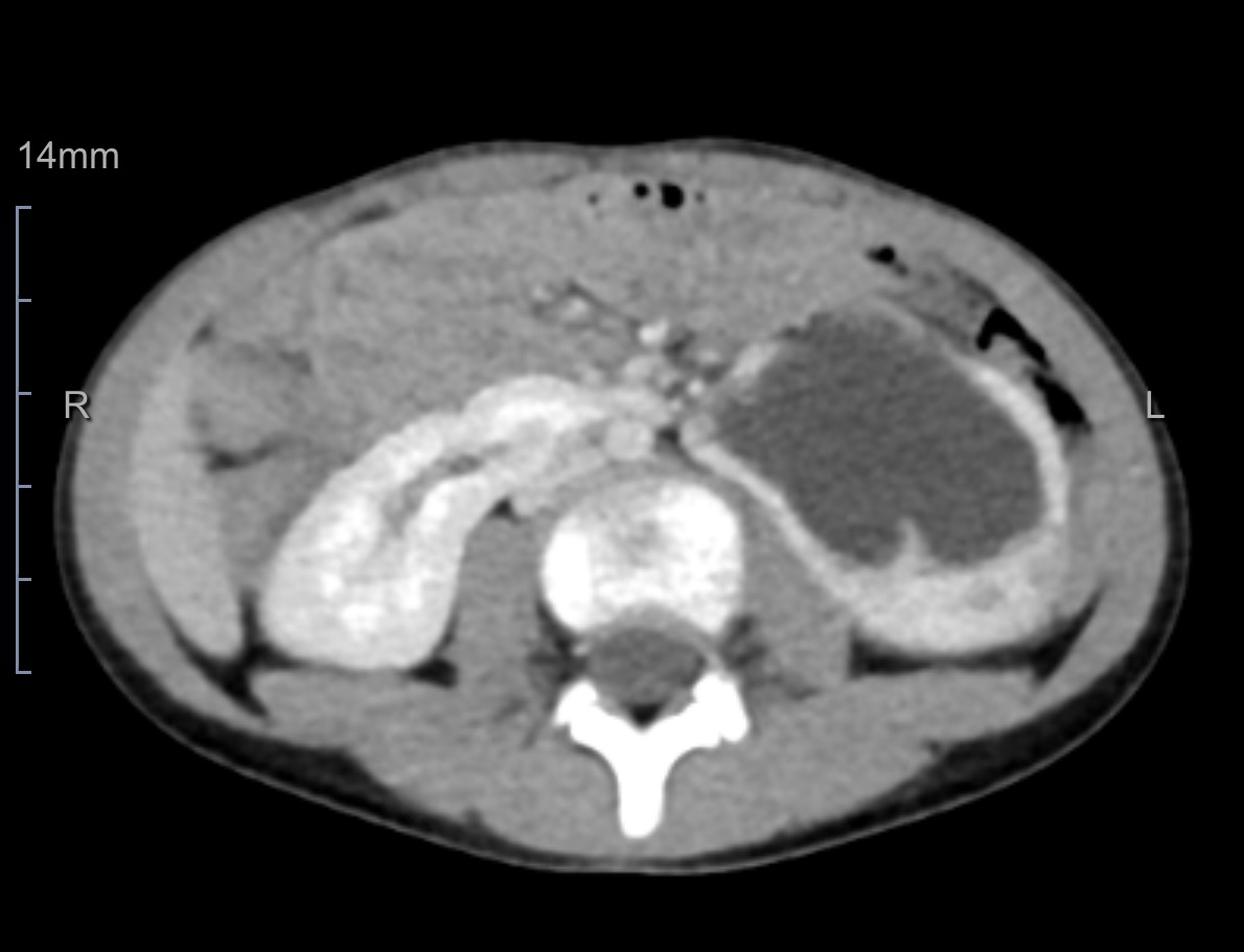
据了解,患儿依依(化名)多月来反复出现不明原因的腹痛及呕吐,经仔细检查后,被确诊为先天性马蹄肾——一种因两侧肾脏在下极融合导致的罕见结构异常,常伴随肾脏旋转不良及血管变异。该多发畸形已造成其左侧肾脏严重积水,若不及时干预,将进一步损害患儿依依的肾功能,甚至需切除肾脏。 

面对这一复杂病情,医院启动了多学科协作机制,由小儿外科和泌尿外科团队共同研究影像资料,结合患儿具体情况,为其制定了个性化的微创手术方案。

手术中,在麻醉科团队的配合下,运用达芬奇机器人手术系统成功离断马蹄肾峡部,解除异位血管对输尿管的压迫,纠正了旋转不良的左肾,从而有效解除梗阻,最大限度保留肾功能。手术过程顺利,出血量少,患儿术后恢复良好。最新超声复查结果显示,依依的肾积水已明显减轻,其腹痛症状完全消失,目前已恢复正常学习和生活。 

泌尿外科负责人表示,此次小儿外科与成人泌尿外科的成功合作,不仅为依依解除了病痛,也为今后处理类似复杂先天畸形病例积累了宝贵经验。该病例的成功救治,充分体现了多学科协作的重要性。通过整合各专科优势资源,能为复杂泌尿系统疾病患儿提供更安全、更有效的治疗,突破技术限制,最终造福患者和家庭。