动静医生 | 10分钟微创切除肿瘤,次日康复出院!
近日,中山一院贵州医院(贵医附院贵安院区)胸外科成功实施一例“Tubeless”(无管化)单孔胸腔镜手术,为一名30岁男性患者切除了后纵隔肿瘤。肿瘤的精准切除仅用时10分钟,患者术后第二天便康复出院。
“无管化”技术:让手术更微创,让康复更快速
此次手术的核心亮点在于“Tubeless”技术。传统的胸腔镜手术,即使创伤小,术后也常需留置胸腔引流管、导尿管等,给患者带来不适和活动限制。
据该院胸外科副主任杜小军介绍,“Tubeless”技术并非简单的单一技术,而是一套整合了优化麻醉与精细化手术管理的先进理念。它在保证手术安全的前提下,力求实现“三无”目标:无气管插管、无胸腔引流管、无导尿管。这一技术的应用,意味着患者在麻醉复苏后,身体上没有各种管路的束缚,可以早期下床活动,极大地减轻了痛苦,也降低了感染等并发症的风险,是快速康复外科(ERAS)理念的深度实践。

30分钟离院,次日出院:刷新快速康复纪录
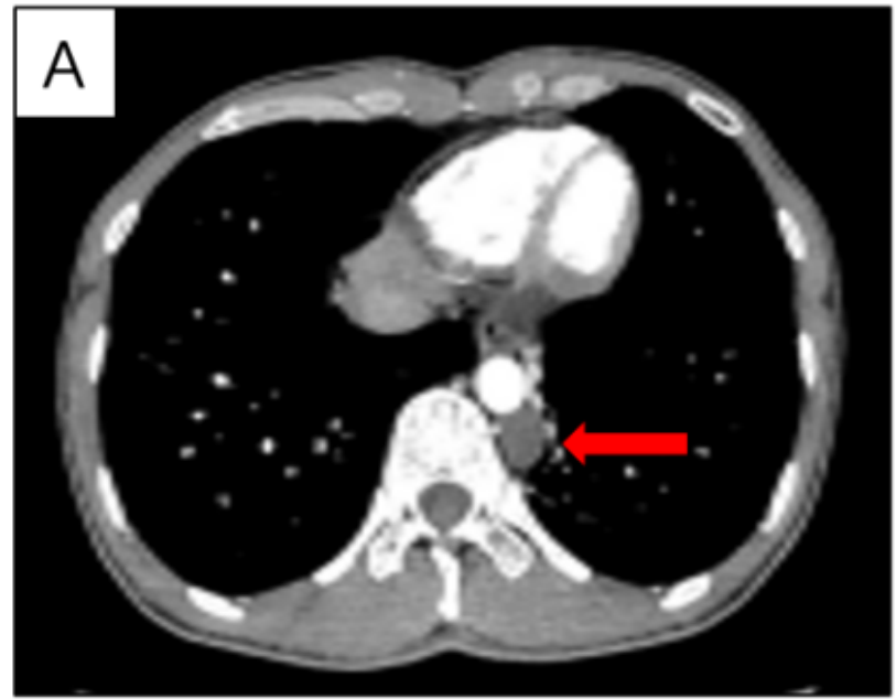
据了解,该患者因体检发现左后纵隔脊柱旁有一个约2.2cm的肿物,考虑为神经源性肿瘤入院。面对这一情况,胸外科、麻醉科及手术室团队进行了充分的术前评估与准备。
手术中,杜小军团队仅在患者胸部开了一个不足3厘米的单孔,凭借精湛的技术,在短短10分钟内便将位于主动脉旁的肿瘤完整切除。依托“无管化”技术的优势,手术采用了对气道损伤更小的麻醉方式,患者在术后苏醒质量良好,不仅无需插管,更能自主活动。在医护团队的陪同下,患者步行走出手术室,全程从手术开始到离开仅用时约半小时。次日复查胸片,显示胸腔内无积气、积液,顺利康复出院。

科普小贴士:什么是“Tubeless”单孔胸腔镜?
简单来说,这是一种“微创中的微创”技术。
单孔:将传统多孔的胸腔镜手术缩减为一个孔,创伤更小,更美观。
无管化:术中采用精准的麻醉管理,术后不留置引流管和尿管,患者摆脱管路束缚,疼痛感更轻,能够早期下床活动,加速康复。

