科室动态 | 只因信任,甘肃肝癌患者慕名而来,肝胆外科硬核实力解除患者病痛!
对于每一个医务工作者,自我价值的体现莫过于来自患者和家属的肯定与信任。近日,贵州医科大学附属肿瘤医院肝胆外科收治了一位跨省慕名而来的患者,潘耀振教授团队医护人员用精湛的技术、细致的人文关怀和高尚的医德为患者和家属减轻病痛,带去希望。

45岁本是家庭的中流砥柱,但对于王女士而言,却意味着病魔和痛苦。时间回溯到一个月前,这天对王女士来说无比难忘,年仅45岁的她在甘肃某医院确诊了肝癌,住院治疗效果不佳,让她备受折磨、心力交瘁。后来在朋友的极力推荐下,得知贵州医科大学附属肿瘤医院副院长、肝胆外科学科带头人潘耀振教授主任团队对肝胆胰脾肿瘤方面的治疗在我省乃至国内技术较好,于是她跨越千里,从甘肃奔赴贵阳,来到贵州医科大学附属肿瘤医院肝胆外科寻求帮助。
王女士入院后,检查结果令人忧心。她的肝脏占位病变,尤其是左肝肿瘤体积巨大,且与肝门及肝脏内大血管紧密相连,手术难度较大。面对挑战,潘耀振教授带领团队组织多学科专家会诊,认真研究了患者的病史,进行相关辅助检查,全面评估了患者病情,充分结合家属的顾虑因素,果断决定为王女士行肝癌切除+胆囊切除术的治疗方案。
近日,由潘耀振教授主刀,带领王兴副主任及团队实施了手术。腹腔探查见患者肿瘤位于左肝,呈突出性生长,巨大的包块令人触目惊心,与周围组织重度粘连,肿瘤压迫了胃、胰腺、结肠等重要脏器,但肿瘤医院的外科专家们凭借精湛的技术,术中精细操作、默契配合,成功完成了扩大左半肝及肿瘤的切除,取出的肿瘤尺寸达18x14cm,术中出血量极少,手术非常成功。

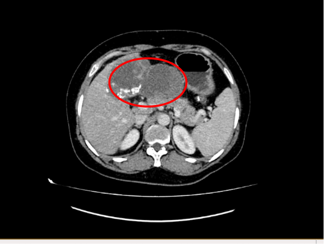
患者术前影像

患者术后影像
术后,在肝胆外科护理团队运用快速康复管理及精心护理下,王女士的身体各项指标加快恢复,没有任何并发症发生,术后第二天就可以下床活动了。王女士及家属心怀感激,在潘耀振教授带领医护人员查房时,对治疗团队高超的医术、术前精心筹备和术中的专业操作竖起了大拇指,还感谢护理团队在术后护理中的细心周到与无微不至。
王女士表示:“谢谢咱医院的专家们,让我看到了生活的希望,我慕名而来,你们不负期望,贵州医科大学附属肿瘤医院肝胆外科,杠杠的。”目前,王女士已经出院回家休养。
此次成功救治,充分彰显了贵州医科大学附属肿瘤医院肝胆外科在疑难病症治疗方面的卓越能力,同时也展现了医护团队的敬业精神与高超水平,让来自外地的患者真切感受到了医院的专业与温暖。
贵州医科大学附属肿瘤医院肝胆外科

肝胆外科成立于2008年8月,在学科带头人潘耀振教授的带领下,经过10余年的不断发展壮大,目前成为贵州省专科医院中高水平的集临床、科研、教学于一身的明星科室。病房配备有先进的监护设备、腹腔镜、电子胆道镜、B超等仪器。目前科室医生12人,其中主任医师1人、副主任医师2人、主治医师6人、住院医师3人,包括博士生导师2人、硕士生导师2人、博士3人,现有护士15人,包括副主任护师1人、主管护师6人,护师4人,护士4人,其中肿瘤专科护士2名,三级营养师2名,静疗专科护士1人,护士中本科学历12人。科室开展了GCP项目6个,2021年成立了“中国初级卫生保健基金会贵州省肝胆胰脾专业委员会”,2022年获“贵州省五一巾帼标兵岗”,2022年获批全国第一批肝癌规范诊疗质量控制试点单位。
科室特色:
自潘耀振教授担任贵州医科大学附属肿瘤医院副院长、肝胆外科学科带头人以来,将多项治疗项目发展为省内一流的中心,并多次在贵州省电视台、贵阳晚报、动静贵州等知名媒体进行肝癌知识的普及及健康教育,造福广大人民群众。
1、腹腔镜下双镜联合保胆取石术
潘耀振教授为中国医师协会内镜医师分会内镜微创保胆专业委员会常委,一直在推行规范保胆手术,曾多次做客贵州省电视台进行推广。
2、中晚期恶性肿瘤转化治疗
在院内成立了肝胆胰脾肿瘤及腹部肿瘤组MDT,并在省内率先开展通过“局部+全身”,联合靶向、免疫等方式将一期不可切除肿瘤转化为二期可切除肿瘤并实施手术,使患者得到生存获益。
3、不可切除胆管癌光动力治疗
此为贵州省率先开展项目,已为多名晚期胆管癌患者生存质量的提高做出了巨大的改善。
4、全彩3D打印在手术方案制定中的应用
目前已在院内成立3D研究中心,在复杂肝癌、胰腺癌、胆道肿瘤或者胆道结石等等手术方案制定上发挥了独到的作用。
5、国家癌症中心第一批“肝癌规范诊疗质量控制试点单位”
目前贵州省仅3家单位入选,贵州医科大学附属肿瘤医院为其中之一。本次入选标志着医院肝癌规范诊疗水平与能力建设得到国家权威机构和专家委员会的认可。
门诊时间:
周一至周五上午8:00-12:00;下午14:00-17:00
预约渠道:
搜索并关注医院微信公众号“贵州医科大学附属肿瘤医院”
电话预约:
0851-86510256(医生办公室)

潘 耀 振
肝胆外科专家
主任医师,二级教授,博士,博士生导师。享受国务院特殊津贴专家、贵州省省管专家。贵州医科大学附属肿瘤医院副院长、肝胆外科主任,学科带头人。
●中国初级卫生保健基金会贵州省肝胆胰脾专业委员会主任委员
●中国抗癌协会理事
●中国研究型医院协会微创专业委员会常委
●中国医师协会内镜医师分会内镜微创保胆专业委员会常委
●国际肝胆胰协会中国分会委员
●中国医师协会肝癌专业委员会委员
●贵州省医学会外科学分会常委
从事肝胆胰外科临床及基础研究工作30余年,对肝胆胰脾良恶性肿瘤以及肝胆外科疑难危重疾病具有较丰富的临床诊治经验。常规开展双镜联合保胆取石,腹腔镜下解剖性肝切除、门脉高压脾切除加断流、胰十二指肠切除术、先天性胆管囊肿切除胆肠吻合术、胰腺假性囊肿空肠吻合术等。曾两次获贵州省科技进步二等奖。

王 兴
肝胆外科专家
博士,副主任医师,副教授,博士生导师,贵州医科大学附属肿瘤医院肝胆外科副主任、科教科副科长、外科教研室副主任。
●中国初级卫生保健基金会贵州省肝胆胰脾专业委员会常务委员兼秘书长
●中国医疗保健国际交流促进会肝脏移植分会青年委员
●中国医药教育协会医疗器械管理专业委员会委员
●世界内镜医师协会中国分会消化外科联盟
●西南分会理事
●贵州省医学会外科学分会委员
●贵州省医学会器官移植与外科感染学分会委员
●国际肝胆胰外科协会中国分会贵州省美刀专业委员会秘书
擅长肝胆胰脾肿瘤外科临床诊治,如开放性手术、腹腔镜手术、靶向、免疫等个体化综合治疗,并在终末期肝病、肝移植等方面经验丰富。

